发布日期:2022-12-23
图像质量是医院选购CT产品的核心评价标准,它直接影响医生对受检者病情的诊断结果。探测器系统的技术优势是图像质量的重要保证。
波影自主研发的神盾4.0探测器是业内CT技术创新的集大成者,兼具低噪成像、稳定成像、无损成像、超清成像四大先进优势,可以超清真实还原人体组织的精细结构,助力医生精准诊断。

低噪成像
纤毫毕现助诊断
在CT扫描时,由于X光子的散射特征,探测器系统的电子噪声和重建算法的信息利用度等因素的影响,图像往往会产生噪声,影响疾病诊断的精度。
波影神盾4.0探测器从光路设计,电子信号处理,重建算法把噪声降到最低。光路设计中防散射片设计达到业内最高高度,使得散射光子吸收率提高110%、有效光子遮挡度降低60%;ZTV三域迭代重建算法最大化处理扫描获得的信息,从原始数据域、投影域、图像域降低噪声,大幅提升图像的信噪比和成像质量,完美呈现优异的高低密度分辨率,助力医生精准诊断。

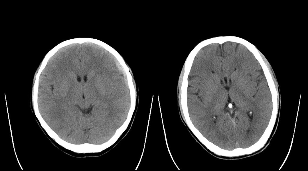
▲皓月CT超低图像噪声样片
稳定成像
系统稳定保运行
CT设备对运行环境温度要求严格,探测器材料对温度变化特别敏感,探测器系统的温控设计极为重要。
波影神盾4.0探测器采用了自创的双腔体智能连续温控技术,实时监测探测器系统内部的各点温度变化,兼具智能化自热和散热功能,温度控制更加全面,有效避免因温度变化而导致的图像伪影,保障系统稳定运行。

无损成像
数据传输抗干扰
探测器系统在工作过程中采集的数据体量大,如果数据在传输过程中出现丢包、损坏等现象,会对图像质量造成几何倍数的负面影响,所以探测器系统数据传输的抗干扰性非常重要。
波影神盾4.0探测器采用多阵列式模块分布设计,相较于传统的串联式模块设计而言,它通过并联模式进行传输,这种传输方式大大缩短了传输路径,实现了零损耗无损传输,基于海量完整数据信息重建后的图像,细节呈现更加丰富,有效避免临床医生因图像细节缺失而造成误诊和漏诊。

超清成像
明察秋毫捕病灶
CT在工作过程中,机架上的球管会持续发射X射线,X射线穿透人体后,最终被机架上的探测器系统所采集,旋转过程中的每个离散角度采集一个切面,称为一个View,采集View的频率,称为View采样率,探测器系统View采样率越高,重建图像就越真实。
波影神盾4.0探测器拥有多重倍率采样技术的优势,与普通的单相采样技术不同,波影所采用的是双相倍增采样,机架每旋转一圈可以采集到双倍View数,基于双倍海量原始数据信息,可以重建超高空间分辨率的图像;此外,波影神盾4.0探测器还拥有业内高密单元设计,每排探测器单元数处于业内领先,极致降低电子噪声,超清真实还原人体组织的精细结构,精准捕捉微小病灶。

波影医疗自成立以来,先后推出神盾ASG探测器《波影神盾ASG探测器 | 高清影像黑科技》和神盾4.0探测器,并已经在波影CT产品上实现应用,连续创造了多个业内唯一,不断刷新国产CT技术新高度,加速影领精准诊断进入智能治疗。