共鸣合璧 协奏无间

Zeedas CT 16 是16层24排CT,标配智能双金球管、神盾ASG探测器,配套光子算法集和全临床解决方案,拥有球管耐用、图像高清、功能齐全、操作简单四大核心优势,适合配置于中小及基层医疗机构。
智能双金球管 - 高强耐用 | ![]() |
双金球管平台智能双金球管—金属管芯+液态金属轴承,相较于普通球管(玻璃管芯+滚珠轴承)而言,360°全方位散热,支持连续不间断扫描,可服务更多患者;拥有超长使用寿命,可为医院节省超百万售后成本。 |
神盾ASG探测器 - 极致去噪 | ![]() |
微米级通道精益型探测器设计能够有效减少35%通道间隙,大幅提高X射线利用效率,可以采集更多数据信息。 纳米级路径闪烁晶体、光电转换、AD芯片的传输路径更短,信号传输零损耗,为高清影像重建提供完整的数据信息。 毫厘级工艺业内超高防散射片设计 —17mm,提高散射光子吸收率110%,降低有效光子遮挡度60%,极致去噪,无损成像。 |
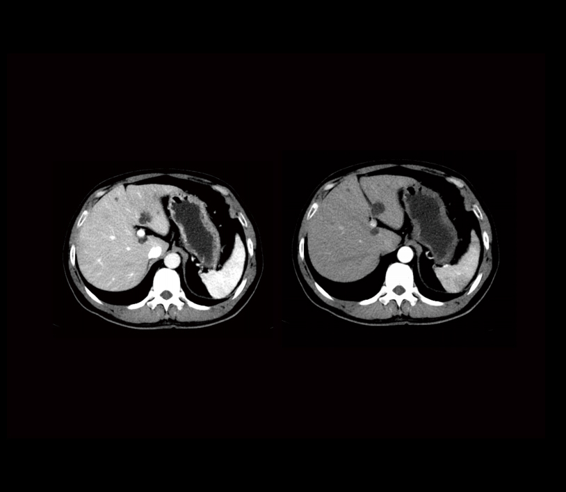
配套光子算法集 - 精准诊断配套光子算法集,高清真实的还原人体组织精细结构;图灵Z-IMAGE后处理平台满足医生对图像进行后处理的需求,轻松应对3D立体成像。 | ![]() |
关闭弹窗