发布日期:2018-11-12
1 脑卒中背景
10月29日是世界卫生组织(WHO)确定的世界卒中日(World Stroke Day)。 脑卒中(cerebral stroke)又称“中风”、“脑血管意外”(cerebral vascular accident,CVA),是一种急性脑血管疾病,是由于脑部血管突然破裂或因血管阻塞导致血液不能流入大脑而引起脑组织损伤的一组疾病,脑卒中分为缺血性和出血性卒中,我们常听到的短暂性脑缺血发作(TIA)、动脉粥样硬化性血栓性脑梗塞、腔隙性脑梗塞、脑栓塞等属于缺血性卒中;高血压脑出血、脑动脉瘤破裂出血、脑动静脉畸形出血(AVM)、蛛网膜下腔出血等属于出血性卒中。从发病率上来看,缺血性卒中的发病率高于出血性卒中,占脑卒中总数的60%~80% [1]。颈内动脉和椎动脉闭塞和狭窄可引起缺血性脑卒中,年龄多在40岁以上,男性较女性多,严重者可引起死亡。从死亡率上来看,出血性卒中的死亡率较高[2]。负责起草世界卒中日宣言的大会主席之一Stroke杂志总编Hackinski在发言中指出:在美国,每45秒就发生1个卒中新发或复发病例,每3分钟就有1人死于卒中。统计数据显示,目前中国脑卒中发生率正以每年8.7%的速率上升,脑血管病已成为中国居民第一位的死亡原因[3]。
2 脑卒中的症状和处理
脑卒中临床表现以猝然昏仆、不省人事或突然发生口眼歪斜、半身不遂、智力障碍为主要特征。
疑似脑卒中的患者要怎么处理?首先需要行急诊头部 CT、头部 MRI ,尽早确定疾病性质。CT的优点是快速、方便、无创,对于新鲜出血敏感性高,是诊断脑出血的金标准;并能显示脑水肿及颅内压高继发脑疝等情况,也适宜诊断颅骨骨折及占位性病变。通过及时的头部CT检查可初步排查出血性卒中,确定下一步治疗的方案,尤其是对于急性脑梗死,在溶栓时间窗内的患者,头部CT检查是非常必要的。而核磁共振花费时间较长,一般等病情稳定后,可进一步查MRI明确诊断颅脑血管病变的情况。
3 如何使用CT诊断脑卒中
CT首先应当进行快速的平扫扫描,确定病灶和卒中类型,摆位时尽量以正确的头位,以避免扫描层面的倾斜,重建图像脑窗,层厚以4-5mm,窗位35-40HU,窗宽为70-80HU,使得脑灰质和脑白质易于辨别;如有头部外伤的患者,为了发现颅骨骨折、硬膜外积气或积血、鼻腔及中耳积液,应当加做骨窗。如CT平扫发现有出血,按出血性卒中治疗;如无出血,再行血管成像(CTA)和全脑灌注成像(CTP)。如怀疑有新生物或局部感染而没有MRI检查时,可能需要增强扫描。
对于出血性脑卒中患者CT平扫图像上病灶相对正常组织会呈现高密度;缺血性脑卒中患者12小时后CT平扫图像上表现为低密度病灶。
4 波影皓月CT扫描的临床病例
病例(一)
患者病史:62岁男性,头晕17小时,言语不清、行走不稳1小时
CT检查:行头部平扫,扫描条件:120 kv,280 mAs,重建图像层厚4.5 mm
CT图像:窗位/窗宽:38/80

图1
两侧基底节区、半卵圆
中心多发腔梗及软化灶

图2
两侧侧脑室旁
脱髓鞘改变
影像描述:CT平扫断层图像显示两侧基底节区、半卵圆中心可见斑点状低密度伪影,两侧侧脑室旁对称性密度降低
影像诊断:两侧基底节区、半卵圆中心多发腔梗及软化灶;两侧侧脑室旁脱髓鞘改变
病例结果:脑梗塞
病例(二)
患者病史:86岁男性,脑损伤入院,治疗后复查
CT检查:行头部平扫,扫描条件:120 kv,280 mAs,重建层厚4.5 mm
CT图像:窗位/窗宽:38/80

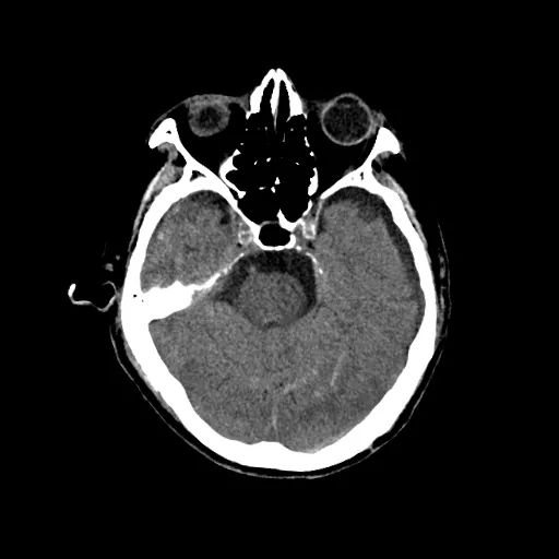
图3
蛛网膜下腔出血,
硬膜下腔积液
影像描述:颞顶叶可见斑片高密度影,两侧额颞顶部颅板下见弧形低密度影
影像诊断:颞顶叶血肿,两侧额颞顶部硬膜下积液
病例结果:蛛网膜下腔出血
波影皓月CT以低噪声至真图像全力助阵脑卒中的防治。
下一篇:CT在肺部检查中的应用