发布日期:2020-01-06
1 CT介入的应用
CT介入是一项成熟有效的经皮穿刺非血管的介入技术,包括CT引导经皮穿刺活检和介入性治疗,可用于全身各个部位,包括脑、胸、腹和肌肉骨骼等系统。
CT具有较高的密度分辨率和空间分辨率,可清楚显示病变的大小、形态、位置及病灶与周围组织器官的毗邻关系。对病变定位准确,并能清楚了解病变内部及周围软组织的情况,从而避开重要组织结构或病灶坏死区域,可精确地确定进针点、角度和深度,并可在扫描监视下随时调整,精确达到穿刺目标!相比之下,超声引导的穿刺具有局限性,在对肺、骨穿刺活检时,由于肺具有高衰减系数,气体-软组织、气液平面及骨界面存在声阻抗,致超声能量衰减,选用CT更好,且对于体型肥胖,病灶位于皮肤深面的,CT引导穿刺对靶向区域更好评估。
CT增强扫描可以显示病灶的血供以及病灶血管的走向,避免损伤血管及病灶周围的主要结构,提高了准确率同时减少并发症。
随着医学图像处理和空间定位技术的发展,出现了CT导航系统。该类系统通过将CT扫描的薄层图像重建出三维图像并结合呼吸门控,在三维图像上将病人解剖结构与手术器械的空间位置联系起来,即实现所谓的“配准”。实现动态反馈介入穿刺过程,同时可实时引导穿刺或介入手术的进行。这种可视化的方式可以减少手术时间和辐射剂量【1】。
CT介入临床案例见于全身各部位多种病灶的穿刺活检,如颅内肿瘤、肺部结节、肺部肿瘤、腹盆腔的肝胰肾等脏器、脊柱等穿刺活检;介入治疗也是已有众多临床案例和相关文献,如CT引导下椎间盘射频消融、治疗盆腔囊肿、治疗肾囊肿、CT引导微波消融肺部恶性肿瘤等治疗、CT定位微创穿刺治疗高血压脑出血、CT引导下骨水泥灌注治疗髂骨转移瘤、CT引导下恶痛自主神经系统介入治疗等。
2皓月CT介入临床案例
病例(一)
神经痛介入治疗:
1)患者在侧卧位下平扫,通过断层图配合定位栅格确定下针位置、角度和深度(图1);
2)下针后扫描监测穿刺针位置,并测出距离靶向位置的距离和角度;
3)根据测量值调整下针长度和角度,避开血管、骨骼和神经等结构(图2);
4)重复2-3至穿刺针达到目标位置;
5)注入少量造影剂,确认范围再注射阻断药(图3)。

图1

图2

图3
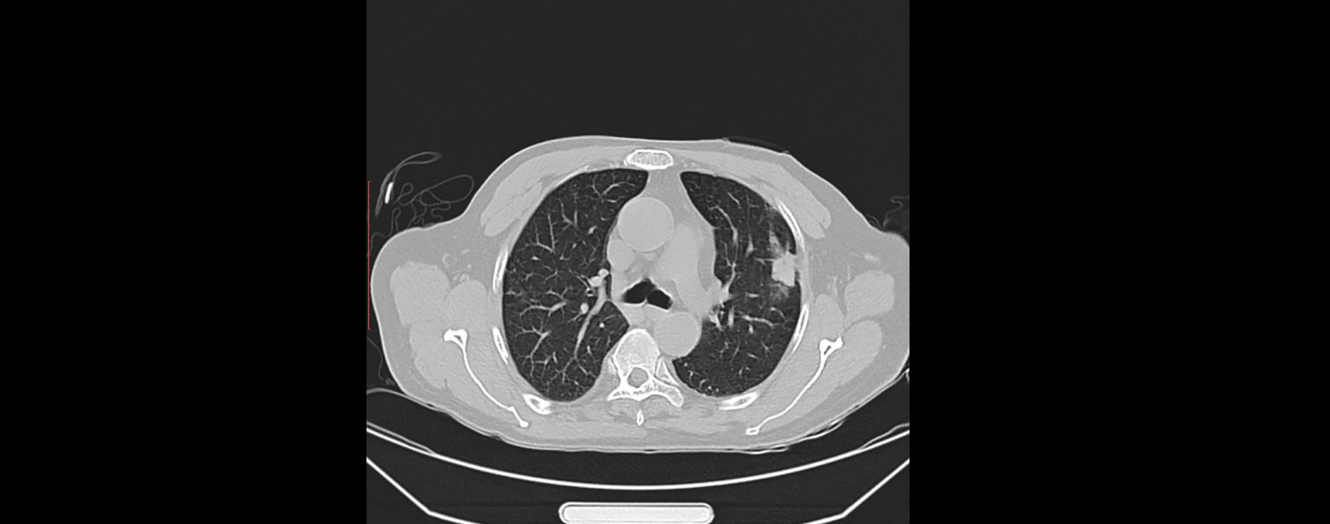
病例(二)
肺结节穿刺活检
患者体检中发现左肺上叶靠胸壁有一结节,需穿刺活检确定良恶性。
1)患者在仰卧位下平扫,通过断层图配合定位栅格确定下针位置、角度和深度(图1);
2)下针后扫描监测穿刺针位置,并测出距离靶向位置的距离和角度;
3)根据测量值调整下针长度和角度,避开血管、骨骼和神经等结构,穿刺针尖进入结节中心位置(图2);
4)更新穿刺枪芯,剪切取出活检组织用95%乙醇标本瓶保存;
5)取出穿刺针后再次行CT肺部平扫,确定无气胸及出血等并发症(图3)。

图1

图2

图3
病例(三)
腹腔脓肿引流
患者肠道手术后发生腹腔脓肿,行CT引导下定位穿刺引流。
1)患者在仰卧位下平扫,通过定位栅格确定下针位置、距离和角度(图1);
2)根据测量值扎入引流管并扫描监测扎入情况(图2);
3)引流管达到脓肿目标位置后,进行脓液抽取(图3);
4)抽取结束注入生理盐水冲洗并将气体排出(图4);

图1

图2

图3

图4
病例(四)
肝脏脓肿引流
1)患者在仰卧位下平扫,通过定位栅格确定下针位置、距离和角度(图1);
2)根据测量值扎入穿刺针并扫描实时调整,直至穿刺至脓肿内(图2);
3)将穿刺针更换为引流管,继续将引流管插入脓肿(图3);
4)通过引流管将脓液抽出(图4);
5)注入生理盐水清洗并排出气体;

图1

图2

图3

图4
上一篇:CT在骨科中应用